Got a Question
Frequently
Asked Questions
Manchester Medical Centre is a trusted Sharjah clinic offering comprehensive dental and aesthetic treatments since 2004.
We are located at Office 302, Al Baker 5 Tower, Al Mamzar Street, Al Khan, Sharjah, UAE.
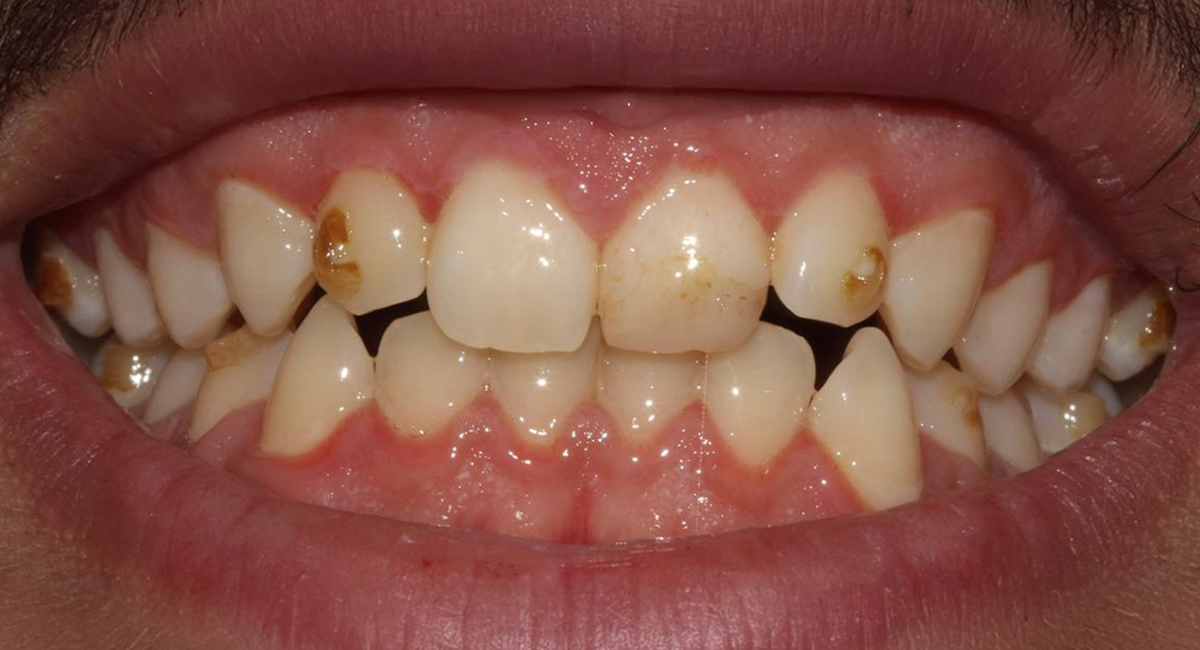
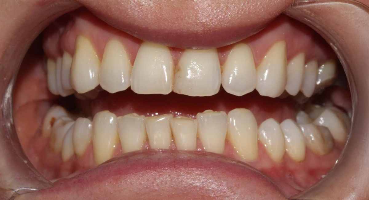
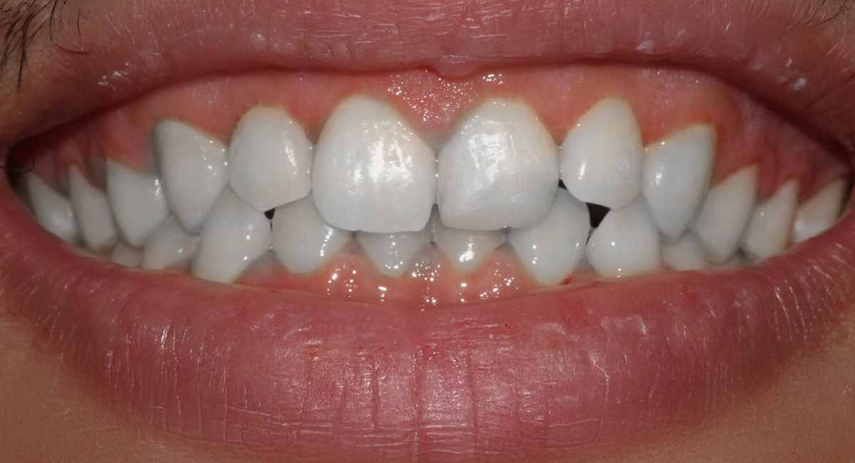
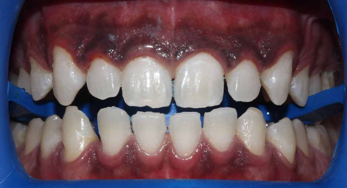
We offer a full range of dental and aesthetic services under one roof — from general dentistry (cleanings, fillings, root-canals) to cosmetic treatments (veneers / “Hollywood Smile”, tooth-whitening, laser treatment, crowns/bridges, implants), and orthodontics.
We are open all days except Friday.
Yes — our clinic works with all insurance companies operating in the UAE.
Our team includes dentists and specialists who speak both Arabic and English, to serve a diverse patient community.



















